• 类器官包埋切片

    类器官(Organoids)指利用成体干细胞或多能干细胞进行体外三维(3D)培养而形成的具有一定空间结构的组织类似物。尽管类器官并不是真正意...

    点击了解详情>>>
    类器官包埋切片
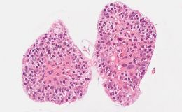
  • 类器官HE拍照

    ​类器官(Organoids)指利用成体干细胞或多能干细胞进行体外三维(3D)培养而形成的具有一定空间结构的组织类似物。尽管类器官并不是真正...

    点击了解详情>>>
    类器官HE拍照
  • 类器官IF拍照

    首先,染色可以帮助研究人员更清晰地观察和研究类器官的结构和形态。通过染色,类器官的细胞和组织可以被赋予不同的颜色或荧光特性,从而使其在显微镜...

    点击了解详情>>>
    类器官IF拍照
  • 类器官STR

    STR即短串联重复序列(short tandem repeats),也称为微卫星DNA(microsatellite DNA), 通常是基因...

    点击了解详情>>>
    类器官STR
  • 类器官外显子测序

    肝癌类器官的外显子组测序显示,突变一致性从培养不到2个月的类器官的92%下降到超过4个月的类器官的80%。

    点击了解详情>>>
    类器官外显子测序