
时间:2025-09-15浏览次数:303
类器官(Organoids)指利用成体干细胞或多能干细胞进行体外三维(3D)培养而形成的具有一定空间结构的组织类似物。尽管类器官并不是真正意义上的人体器官,但能在结构和功能上模拟真实器官,能够最大程度地模拟体内组织结构及功能并能够长期稳定传代培养。
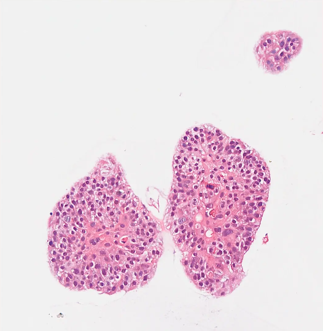
类器官HE染色
1、石蜡切片脱蜡至水
依次将切片放入二甲苯I 10min;二甲苯Ⅱ10min;无水乙醇Ⅰ5min;无水乙醇Ⅱ5min;95%酒精5min;90%酒精5min;80%酒精5min;70%酒精5min;蒸馏水洗。
2、苏木素染细胞核
切片入Harris苏木素染3-8min,自来水洗。
3、伊红染细胞质
切片入伊红染液中染色1-3min,自来水洗。
4、脱水封片
将切片依次放入95%酒精I 5min ;95%酒精II 5min;无水乙醇Ⅰ5min ;无水乙醇Ⅱ5min ;二甲苯Ⅰ5min ;二甲苯Ⅱ5min中脱水透明,将切片从二甲苯拿出来稍晾干,中性树胶封片。
5、显微镜镜检,图像采集分析


人肺癌类器官HE染色
